Подмосковные врачи удалили из мозга подростка пятисантиметровую опухоль

Опухоль размеров в пять сантиметров удалили из мозга 15-летнего пациента врачи Детского клинического центра имени Рошаля в Красногорске. Об этом сообщает пресс-служба министерства здравоохранения Московской области.
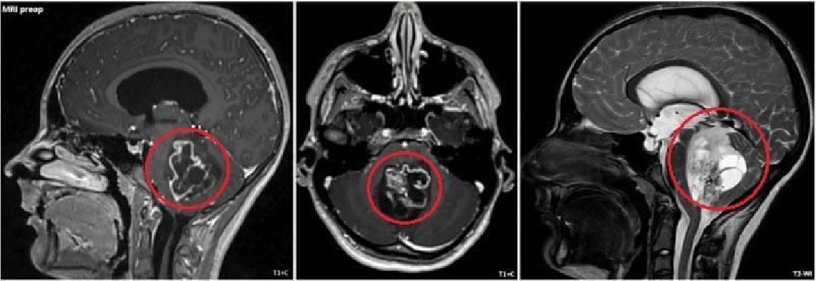
Подросток поступил в больницу с жалобами на постоянную тошноту и рвоту. Обследование показало, что это состояние вызвала опухоль, выросшая в задней черепной ямке.
«Опухоль росла из области, которая отвечает за жизненно важные функции, поэтому любое, даже маленькое повреждение могло привести к тяжёлым неврологическим осложнениям. В ходе операции мы помощью ультразвукового аспиратора смогли аккуратно удалить у пациента опухоль с сохранением критически важных структур головного мозга», — сказал заведующий нейрохирургическим отделением Аслан Текоев.Сейчас прооперированный подросток чувствует себя хорошо. Его уже выписали из больницы.
Читайте также:


