Подмосковные врачи спасли сустав 13-летнему подростку

Подмосковные врачи спасли тазобедренный сустав 13-летнего подростка, который пришел с болью в бедре, ограничением подвижности и хромотой, сообщили в подмосковном Минздраве.
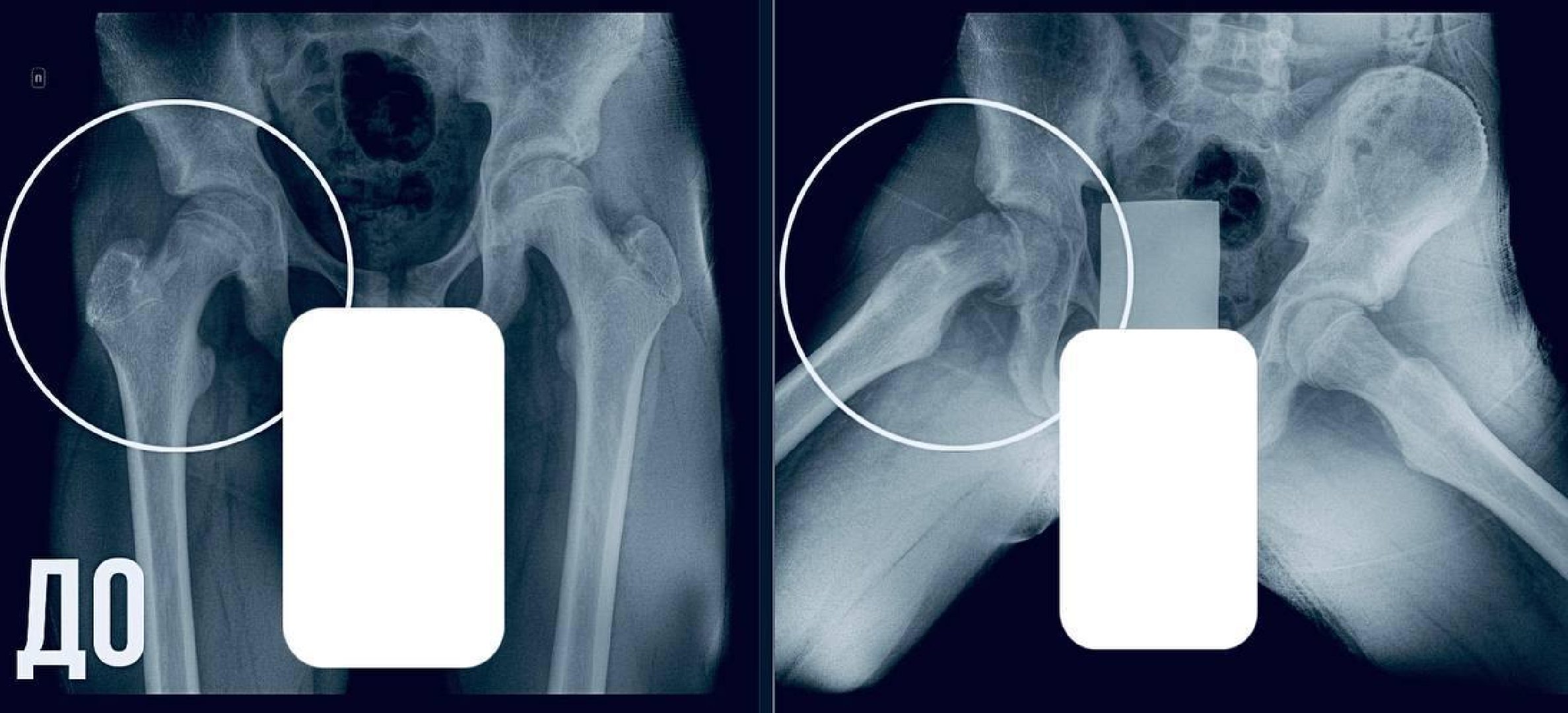
Родители обратились в Московскую областную детскую клиническую травматолого-ортопедическую больницу, где на обследовании выявили юношеский эпифизеолиз — смещение головки бедренной кости, характерное для периода активного роста.
«Пациенту требовалась срочная операция. Мы выполнили фиксацию сустава, чтобы остановить смещение и дать ему возможность правильно развиваться. Это убережет юношу от раннего артроза и ограничений подвижности в будущем», — отметил главный врач МОДКТОБ Александр Григорьев.Сейчас подросток идет на поправку. В ближайшее время его выпишут домой, после чего он начнет курс реабилитации. Врачи советуют родителям не откладывать визит к врачу, если ребенок хромает, у него боли в бедре или неустойчивая походка. Своевременное обращение поможет избежать серьезных осложнений.
